
Il Summer Smile si suddivide nelle seguenti fasi:
Igiene Dentale
Si utilizzano strumenti a ultrasuoni e strumenti manuali.
Strumenti a ultrasuoni: agiscono tramite particolari punte che permettono di raggiungere il tartaro sotto la gengiva. La punta compie un movimento vibratorio (fino a 20.000 vibrazioni al minuto) che riesce a rimuovere delicatamente il tartaro senza provocare particolare dolore o fastidio durante la manovra.
Strumenti manuali: hanno punte particolari e vengono utilizzati da soli o insieme agli strumenti a ultrasuoni.
Ecco come viene impostata la seduta:
Fase 1: sondaggio. Il sondaggio permetterà di rilevare la presenza di placca e sanguinamento gengivale.
Fase 2: detartrasi detta anche ablazione del tartaro.
Attraverso uno strumento odontoiatrico meccanico a ultrasuoni, il tartaro viene rimosso.
L’aspetto estetico dei denti risulta visibilmente migliorato.
Fase 3: Scaling. Trattasi della rimozione di placca e tartaro interdentale ed eventualmente subgengivale con uno strumento appunto chiamato scaler.
Fase 4: Air polishing.
Tramite un apposito strumento chiamato air flow verrà nebulizzata sulla superficie dentale un particolare tipo di polvere miscelata con aria e acqua che dissolverà le macchie e luciderà i denti senza intaccare lo smalto.
Fase 5: tolto l’apribocca l’igienista passerà il filo interdentale.
Sbiancamento BlancOne® Click
Un unico gel, ottenuto dalla miscela dei due componenti, sbiancante e attivatore, sarà applicato sui denti anteriori e verrà irradiato con un’apposita lampada a luce blu per 10 minuti senza produzione di calore.

Durante il trattamento indosserai l’apribocca e gli occhiali protettivi.
Grazie alla sua speciale formulazione e sfruttando l’energia luminosa, l’ossigeno sviluppato non verrà disperso all’esterno (il gel si gonfia), ma rimarrà intrappolato nel gel e veicolato totalmente verso lo smalto, massimizzando l’azione sbiancante.

Ricordiamo che la presenza di perossido di carbamide è del 16%, e quella del perossido di idrogeno è inferiore del 6%.
Lo sbiancamento non ha effetto su corone in porcellana e ricostruzioni dentali.
Come si applica il brillantino al dente?
Il brillantino è un gioiello in cristallo che viene applicato sulla superficie esterna del dente. Si sceglie uno degli incisivi laterali superiori in quanto considerato la posizione perfetta per mettere in evidenza il sorriso.

Viene applicato per la durata di 15 secondi dell’acido ortofosforico nella porzione dell’elemento dentale prescelto, viene poi effettuato un lavaggio e applicato dell’adesivo con successiva polimerizzazione, infine viene fissato il brillantino usando composito fluido.
Il brillantino non viene incastonato ma applicato su smalto integro attraverso una tecnica adesiva.
Dopodiché viene fotopolimerizzato e quindi fissato permanentemente.
L’applicazione risulta semplice ed indolore ed avviene in una sola seduta! Velocissimo no?

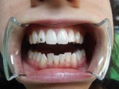
Ecco un effetto:

Prima

Dopo
Dove Siamo ?
Siamo a Loano in via Azzurri d’Italia 15
A Cairo Montenotte in via Baccino (vicino all'ospedale)
E ad Albenga in via degli Orti 61 (Studio Dott. Provaggi)
E Buone Vacanze a Tutti!

Scopri chi sono le Igieniste Dentali:
Dott.ssa Cecilia Pagliari

Igienista Dentale
TITOLI DI STUDIO
2020: Master in Igiene Orale ad indirizzo implantare, parodontale, estetico ed ortodontico
Istituto Stomatologico Toscano, Lido di Camaiore
Tesi: “L’ozonoterapia nella gestione della perimplantite: case report”
2016: Corso di Laurea in Igiene Dentale
Facoltà di Medicina e Chirurgia, Università degli studi di Torino
Tesi: “Effetto di sostanze pigmentanti su superfici dentarie sottoposte a microinfiltrazione con DMG Icon” presso il reparto di Endodonzia e Conservativa, Dental School.
Tirocinante presso Azienda Ospedaliera-Universitaria San Luigi Gonzaga, Orbassano (TO)
Tirocinante presso Azienda Ospedaliera-Universitaria Città della Salute di Torino, Ospedale Molinette
Tirocinante presso Dental School, Lingotto (TO)
ESPERIENZE PROFESSIONALI
Ottobre 2020 – in corso: Igienista Dentale – Studio odontoiatrico Dott. Molineris Odasso, Via Vecchia Morella6A, Albenga
Luglio 2020 – in corso: Igienista Dentale – Centri dentali Sangiovanni, Via Azzurri d’Italia 15, Loano
Settembre 2019 – in corso: Igienista Dentale – Centro Diagnostico Ligure, Via Nazario Sauro 48, Pietra Ligure
Gennaio 2019 – in corso: Igienista Dentale – Studio dentistico Dott. Cesare Pagliari, Via al Piemonte 170, Leca d’Albenga
Gennaio 2017 – Luglio 2019: Igienista Dentale – Studio dentistico Mantero, Via Tommaso Schiva 56, Imperia
Dott.ssa Federica Albesano

Esperta in Debridement con ablatore ultrasonico, Scaling e Levigatura Radicolare con strumenti manuali, Sigillature dei solchi e delle fessure, Sbiancamenti, attività di Prevenzione nelle Scuole e negli Asili.
TITOLI DI STUDIO
2010: Laurea in Igiene Dentale presso l’Università degli Studi di Genova.
Tesi: Esperienza di Educazione all’Igiene Orale, Nosocomiale e Domiciliare, rivolta ai Caregivers e ai Pazienti ricoverati presso il Centro ictus della Clinica neurologica dell’Ospedale San Martino di Genova. Realizzazione di adeguato protocollo.
ESPERIENZE PROFESSIONALI
Dal 2003 al 2006: Assistente alla poltrona in studio odontoiatrico monoprofessionale.
Dal 2006 al 2010: Assistente alla poltrona in studio odontoiatrico con plurioperatori.
Assistente chirurgica e responsabile di sterilizzazione.
Dal 2010: Igienista Dentale.
Dal 2014 ad oggi: collaborazione con Sangiovanni Eccellenze Dentali.
CORSI FREQUENTATI
2007: Congresso “Nuove Tecnologie in Odontoiatria” – Premio Duillo, Genova 2007.
2008: Congresso “Nuove Tecnologie in Odontoiatria” – Premio Duillo, Genova 2008.
2009: Congresso “Nuove Tecnologie in Odontoiatria” – Premio Duillo, Genova 2009.
Convegno SISIO “Controllo Domiciliare della Placca: un Approccio Scientifico”, Lido di Camaiore.
2010: Congresso SIDP “Il Ruolo dell’Igienista Dentale nel Controllo dei Fattori di Rischio Parodontali”, Bologna.
Conferenza SIDP “Progetto Stili di Vita”, Genova.
2011: “Il Trattamento Non Chirurgico della Malattia Parodontale” presso Ariminum Reasearch & Dental Education Center, Relatrice Dott.ssa Antonella Tani Botticelli, Rimini.
2012: Congresso SIDP “La Terapia Parodontale nella Società che Cambia: Il Paziente Protagonista”, Bologna.
“La Scelta degli Strumenti e dei Materiali per la Decontaminazione della Supoerficie Radicolare”, Relatrice Dott.ssa Annamaria Genovesi, Genova.
“Diagnosi e Protocolli Terapeutici con Parodontiti e Perimplantiti”, Relatrice Dott.ssa Anna Labriola (Studio Cortellini), Predappio (FC).
“Protocolli Operativi e Mantenimento con Tecniche Airflow e Periflow Polishing con Glicina”, Relatrice Dott.ssa Chiara Grosso (Studio Calesini), Vado Ligure (SV).
2014: “Periocampus – Corso Teorico Pratico di Terapia Parodontale Non Chirurgica per il Team Odontoiatrico”, Relatori Prof. Filippo Graziani, Prof. Cristiano Tomasi, Dott.ssa Jeanne Suvan, Pisa.
2015: “Periocampus Avanzato”, Relatori Prof. Filippo Graziani, Prof. Cristiano Toamsi, Dott.ssa Jeanne Suvan, Pisa.
Dott.ssa Laura Calcagno

TITOLI DI STUDIO
2015: Laurea in Igiene Dentale, voto 108/110 presso Università degli Studi di Genova.
Tesi sperimentale: il business dello sbiancamento domiciliare: metodiche e Risultati a confronto. Con la Collaborazione della Dott.ssa Paola Gavoglio.
ESPERIENZE PROFESSIONALI
2016: Collaborazione presso studio dentistico Dott. Flavio Balestra, Sanremo (IM).
2017: Collaborazione presso studio dentistico Dott.ssa Monica Buscema, Pietra Ligure (SV).
2018: Collaborazione presso studio dentistico Dott. Giovanni Franzone, Albenga (SV).
Dal 2018: Collaborazione con Sangiovanni Eccellenze Dentali .
CORSI FREQUENTATI
2014: lo sbiancamento professionale, teoria e pratica, presieduto da Dott.ssa Genovesi.
2015: Occhio alla bocca, Prevenzione del carcinoma orale. Genova.
Corso teorico pratico Individually Trained Oral Prophylaxis ITOP & quot. Nuovi aspetti nella profilassi e Igiene orale moderna & quot. Presieduto dalla Dott.ssa E. Santarelli, Genova.
2016: Corso fondazione Castagnola: la pratica clinica dell’Igienista dentale, Evoluzione della disciplina. Milano.
2017: Una finestra sulla patologia orale. Milano.
2018: Valutare lo smalto dentale. Milano.
Odontoiatria 8.0. Genova.
Ergonomia e Igiene orale: approccio multidisciplinare per un’Ottima attività professionale. Massarosa (Lu).
Dott.ssa Laura Germani

Esperta in debridment ultrasonico, scaling e levigatura radicolare con strumenti manuali, sbiancamento laser assistito e decontaminazione delle tasche con laser a diodi o con acqua ozonizzata.
TITOLI DI STUDIO
2012: Laurea in Igiene Dentale, Prevenzione orale e tecniche di Igiene Professionale riguardanti le competenze dell’Igienista dentale, facoltà di Medicina e Chirurgia, Università degli studi di Genova.
ESPERIENZE PROFESSIONALI
2006 – 2007: Assistente alla poltrona presso lo studio dentistico del Dott. Massimo Torcello, Vado Ligure (SV).
2007 – 2008: Assistente alla poltrona presso lo studio dentistico del Dott. Sergio Pescio, Borghetto Santo Spirito (SV).
2008: servizio civile Croce Rossa Italiana, primo Soccorso, trasporto infermi e assistenza, Vado Ligure (SV).
2009 – 2012: tirocinio universitario Igienista dentale presso l’Università degli studi di Genova, sede San Martino, padiglione di odontostomatologia.
2013 – 2018: Collaborazione presso lo studio dentistico del Dott. Maurizio Intra, Toirano (SV).
Dal 2015: Collaborazione presso lo studio dentistico della Dott.ssa Maria Federica Pisano, Savona.
Dal 2018: Collaborazione con studio dentistico il giardino del principe oasi medica, Loano (SV).
Dal 2018: Collaborazione con Sangiovanni Eccellenze Dentali.









Scopri chi sono le Igieniste Dentali: